Tu nueva sonrisa empieza aquí
Más de 1.000 pacientes tratados.
Tecnología digital avanzada.
Equipo especializado en estética dental
Evitas sonreír en fotos o en público
No te gusta cómo están alineados tus dientes
Buscas una solución estética sin brackets
Llevas tiempo pensándolo pero no sabes por dónde empezar
No te preocupes, estaremos encantados de ayudarte con ortodoncia invisible y estética dental.
Lánzate y agenda una primera visita:
Analizaremos tu caso
Te explicaremos todas las opciones
Te mostraremos cómo podría quedar tu sonrisa
Además, si también te preocupa el precio, te daremos todas las facilidades que estén en nuestras manos.
Empieza hoy mismo sin compromiso.
Nadie notará que llevas ortodoncia
Puedes quitarlos para comer o eventos
Sin molestias constantes ni urgencias
Ves el resultado antes de empezar
Así puede cambiar tu sonrisa.

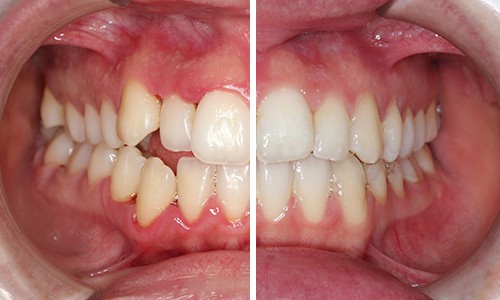
Antes y después.
Resultado real tras tratamiento de ortodoncia invisible en Grupo Clínico Ariño
Además, dispones de...

Blanqueamiento dental
Carillas estéticas
Diseño de sonrisa personalizado
Elige el tratamiento que mejor encaje contigo.
Confía en un equipo experto en tu sonrisa
Más de 1000 pacientes en Teruel ya han confiado en nosotros.

Anabel Pilares
Más de 10 años cuidando sonrisas de nuestros pacientes en Barcelona..
Enfoque cercano y personalizado en cada tratamiento.
DIRECTORA

Gabrielle Tonellini
Especialista en cirugía y rehabilitación oral.
Más de 10 años de experiencia en tratamientos complejos.
MAXILOFACIAL

José Maestre
Especialista en ortodoncia invisible y estética dental.
Diseña sonrisas naturales adaptadas a cada paciente.
ORTODONCISTA

Alberto Casino
Más de 7 años resolviendo casos con precisión y cuidado.
Enfocado en conservar y cuidar la salud dental a largo plazo.
ENDODONCISTA
Te acompañamos en todo el proceso, desde la primera visita hasta el resultado final.
La experiencia de nuestros pacientes
⭐4.9 en Google


“El trato del personal es muy cercano y profesional, explican cada paso con claridad y transmiten mucha confianza.”
— Ivory Calaje


“Me ofrecieron una opción de pago mensual que me ha facilitado muchísimo poder realizar el tratamiento sin preocupaciones.”
— Sofian Tetouan


“Profesionales muy atentos y trato cercano. Las instalaciones son modernas y limpias.”
— Jordi Álvarez
Da el paso hacia la sonrisa que quieres
Cuidamos toda tu salud dental
Ofrecemos soluciones completas para mejorar tu salud y estética dental.

Recupera tu sonrisa con piezas seguras y naturales

Mejora la forma y el color de tus dientes

Cuida tus encías y protege tu salud bucodental

Recupera la funcionalidad y estética de tu sonrisa

Alinea tus dientes de forma cómoda y discreta

Cuidamos la salud dental de los más pequeños

Elimina el dolor y conserva tu diente natural

Detecta a tiempo cualquier problema dental
Da el paso hacia la sonrisa que quieres...
Te ayudamos desde el primer día con un tratamiento adaptado a ti


Grupo Ariño es una red de clínicas dentales enfocada en ofrecer tratamientos personalizados, tecnología avanzada y un trato cercano en cada paciente.
GRUPO CLÍNICO ARIÑO
TRATAMIENTOS
LEGAL
Copyright 2026. All rights reserved